| |
¢Á ÀûÀÀÁõÀÌ µÇ´Â °æ¿ì
: ¼ö¼ú Àü ôÃߺÎÀ§ÀÇ º¯ÇüÀ̳ª ºÒ¾ÈÁ¤¼ºÀÌ µ¿¹ÝµÇ¾ú°Å³ª ÇùÂøÀÌ ½ÉÇØ ³Ð°í
È®½ÇÇϰÔ
½Å°æ¿¡ ´ëÇÑ °¨¾ÐÀÌ ÇÊ¿äÇÑ Ã´Ãß°üÇùÂøÁõÀÎ °æ¿ì ÀûÀÀÁõÀÌ µË´Ï´Ù.
¢Á ÀåÁ¡ : Ç㸮¿¡ »ý±ä º¯ÇüÀ̳ª ºÒ¾ÈÁ¤¼ºÀ» ¾ø¾Ù ¼ö ÀÖ°í È®½ÇÇÏ°Ô ½Å°æÀ» Ç®¾î ÁÜÀ¸·Î
½á
ôÃß°üÇùÂøÁõÀ» ±Ùº»ÀûÀ¸·Î Ä¡·áÇÒ ¼ö ÀÖ½À´Ï´Ù.
¼ö¼úÀÌ
ÇÊ¿äÇÑ Ã´Ãß°üÇùÂøÁõ¿¡ ´ëÇØ Àü ¼¼°èÀûÀ¸·Î °¡Àå ÈçÇÏ°Ô ½ÃÇàµÇ´Â ¼ö¼ú
¹æ¹ýÀÔ´Ï´Ù.
¢Á ´ÜÁ¡ : Çö¹Ì°æÀûÀÎ ¹Ì¼¼ °¨¾Ð¼úº¸´Ù Àý°³ ºÎÀ§°¡ Å©°í ƯÈ÷ ¿©·¯ ¸¶µð¿¡ º´ÀÌ ÀÖ´Â
°æ¿ì´Â
¼ö¼ú¹üÀ§°¡ ³Ð¾îÁö°í ³»°úÀû ÁúȯÀÌ µ¿¹ÝµÈ °í·ÉÀÇ È¯ÀÚÀÇ °æ¿ì ¼ö¼ú¿¡
¾î·Á¿òÀÌ
ÀÖÀ¸¹Ç·Î °íµµÀÇ ¼÷·ÃµÈ Àü¹®Àǰ¡ ÇÊ¿äÇÕ´Ï´Ù.
|

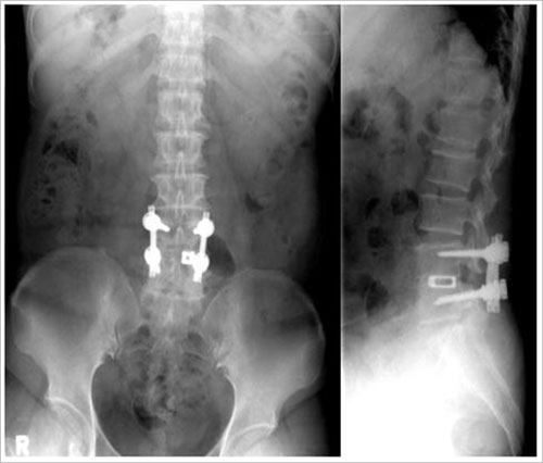
< ÈÄ¹æ °¨¾Ð¼ú ÈÄ ÈĹæ Ãßü°£ À¯ÇÕ¼ú ¹× °íÁ¤¼úÀ» ½Ç½ÃÇÑ »çÁø >

< ÀÏÃø Á¢±Ù¿¡ ÀÇÇØ ¾çÂÊÀÇ Ã´Ãß°ü ÇùÂøÀ» °¨¾ÐÇÏ¿© ¼ö¼úÇÑ »çÁø >
|
|