ÀüüÀα¸ÀÇ
80%Á¤µµ°¡ ÇÑÆò»ý »ì¾Æ°¡´Â µ¿¾È ÃÖ¼ÒÇÑ Çѹø ÀÌ»ó ¿äÅëÀ¸·Î °í»ýÇÑ´Ù°í ÇÕ´Ï´Ù. 7-10%´Â ¸¸¼º¿äÅëÀ¸·Î
°í»ýÇϸç 1%´Â ¿äÅë ¶§¹®¿¡ ½ÅüÀå¾Ö¸¦ °®½À´Ï´Ù. ÃÖ±Ù ÄÄÇ»ÅÍ ÀÛ¾÷µîÀÇ »ýȰ ȯ°æº¯È, Æò±Õ ¼ö¸íÀÇ
Áõ°¡·Î ¿äÅëÀÇ ºóµµ´Â Áõ°¡µÇ´Â °ÍÀ¸·Î º¸À̸ç ÀÌ¿¡ ´ëÇÑ °ü½É ¹× »çȸ ÀÇ·áÀû ºñ¿ë ¶ÇÇÑ ¸·´ëÇÕ´Ï´Ù.
¶ÇÇÑ ¿äÅë »Ó¸¸ ¾Æ´Ï¶ó °æºÎÅë, Áï ¸ñºÎºÐÀÇ ÅëÁõ ¶ÇÇÑ ±× ºóµµ°¡ ±Þ°ÝÈ÷ Áõ°¡µÇ°í Àִµ¥ ÃÖ±Ù¿¡´Â
ÀþÀºÃþ¿¡¼ ºÎÅÍ ³ë³âÃþ¿¡ À̸£±â ±îÁö ½º¸¶Æ®ÆùÀÇ »ç¿ë µî¿¡ µû¸¥ »ýȰ ½À°üº¯È¿Í 65¼¼ ÀÌ»óÀÇ Àα¸
ºÐÆ÷¿¡ µû¸¥ Ãʰí·ÉÈ »çȸ ÁøÀÔ µîÀ¸·Î ±âÇϱ޼öÀû Áõ°¡¼¼¸¦ º¸À̰í ÀÖ½À´Ï´Ù.
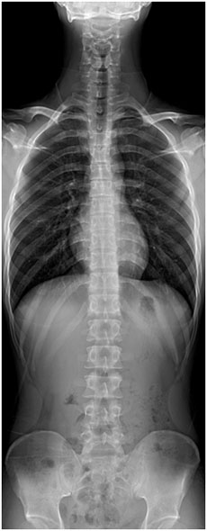
ÇÑÆíÀ¸·Î´Â °ñ°Ý°èÀÇ º¯È Áß ÁÖ¿äÇÑ ºÎºÐÀÎ °ñ´Ù°øÁõÀÇ Áõ°¡ ¶ÇÇÑ °°Àº ¾ç»óÀ» º¸À̰í ÀÖ¾î ³ë³â±â
°Ç°°ü¸®ÀÇ Áß¿äÇÑ ºÎºÐÀÌ µÇ°í ÀÖ½À´Ï´Ù.
º» ôÃß°üÀý Å©¸®´Ð¿¡¼´Â ÀÌ¿Í °ü·ÃµÈ Áúȯ°ú Ä¡·á »ç·Ê, ¿îµ¿¹ý¿¡ ´ëÇØ¼ ¼Ò°³µå¸³´Ï´Ù.
|
|
|