ôÃß º¯Çü Áúȯ
| |
Á¤Áß¾ÓÀÇ ÃàÀ¸·ÎºÎÅÍ Ã´Ãß°¡ Ãø¹æÀ¸·Î ¸¸°î ¶Ç´Â ÆíÀ§µÇ¾î ÀÖ´Â
±âÇüÀûÀÎ »óŸ¦ ¸»ÇÕ´Ï´Ù. |
ôÃßÃø¸¸ÁõÀÇ Á¾·ù
| |
* ±¸Á¶¼º Ãø¸¸Áõ
ÇüÅÂÇÐÀûÀÎ ÀÌ»óÀÌ ÀÖ´Â °ÍÀ¸·Î ¾à 80%ÀÌ»óÀÌ ¿øÀÎÀ»
¾Ë ¼ö ¾ø´Â Ư¹ß¼º Ãø¸¸Áõ
1) Ư¹ß¼º Ãø¸¸Áõ : °¡ÀåÈçÇÑ ÇüÅ 10¼¼ ÀüÈÄ·Î
½ÃÀÛÇØ û¼Ò³â±âÇüÀÌ °¡Àå ¸¹À½
2) ¼±Ãµ¼º Ãø¸¸Áõ
3) ½Å°æ±ÙÀ°¼º Ãø¸¸Áõ : ôÃ߽Ű渶ºñ³ª ±ÙÀ°º´À¸·Î
ÀÎÇÑ Ã´Ãß Ãø¸¸ÁõÀ» ¸¶ºñ¼º, ½Å°æ±ÙÀ°¼º
Ãø¸¸ÁõÀ̶ó Çϰí
½Å°æ¸¶ºñ·Î ôÃ߸¦ ÁöÅÊÇÏ´Â ±ÙÀ°ÀÌ ¸¶ºñµÇ¾î ôÃß°¡ ÈÖ¾îÁü
4) ½Å°æ¼¶À¯Á¾¿¡ ÀÇÇÑ Ãø¸¸Áõ : ½Å°æ¿¡ »ý±ä ȤÀ¸·Î
ÀÎÇØ Ãø¸¸ÁõÀÌ ¹ß»ý
5) Á¾¾ç, °¨¿°, ´ë»ç¼º Áúȯ, °üÀý¿°, ¿Ü»ó
|
| |
* ±â´ÉÀû Ãø¸¸Áõ(ºñ±¸Á¶¼º
Ãø¸¸Áõ)
1) üÀ§¼º Ãø¸¸Áõ : ÀÚ¼¼ ºÒ·®
2) ½Å°æ±Ù Àڱؿ¡ ÀÇÇÑ Ãø¸¸Áõ : µð½ºÅ© Å»ÃâÁõ,
¿äÅë¿¡ ÀÇÇÑ Ãø¸¸Áõ
3) ÇÏÁö ºÎµ¿¿¡ ÀÇÇÑ Ãø¸¸Áõ : ´Ù¸® ±æÀÌ Â÷ÀÌ
4) °í°üÀý ÁÖÀ§ ±¸Ãà¿¡ ÀÇÇÑ Ãø¸¸Áõ
|
ôÃßÃø¸¸ÁõÀÇ Áõ»ó
| |
ôÃß°¡ ÀüÇüÀûÀ¸·Î ÇÑ ÂÊ ¹æÇâÀ¸·Î
ÈÖ¾îÁ³´Ù°¡ ´Ù½Ã ´Ù¸¥ ÂÊ ¹æÇâÀ¸·Î ÈÖ¾îÁø °ÍÀ» °üÂûÇÒ ¼ö ÀÖÀ¸¸ç º¸´Ù ÈçÇϰԴ S
ÀÚ ¸ð¾çÀ¸·Î ¾çÂÊ ¹æÇâÀÇ ¸¸°îÀÌ ±ÕÇüÀ» ÀÌ·ç°í ÀÖ´Â °æ¿ì°¡ ¸¹½À´Ï´Ù. ±× ¿Ü¿¡µµ ´ÙÀ½°ú
°°Àº ¡Èĸ¦ °üÂûÇÒ ¼ö ÀÖ½À´Ï´Ù.
- ¾çÃø ¾î±ú ³ôÀÌÀÇ ºñ´ëĪ
- ¾î±ú°¡ ¾ÕÂÊÀ¸·Î ±¸ºÎÁ¤ÇØÁü(Rounded shoulder)
- Èä°û ÇÔ¸ô ¶Ç´Â ºñ´ëĪ
- ôÃßÀÇ ³»Ãø ¶Ç´Â ¾Æ·¡ÂÊ ¸¸°îÀÇ Áõ°¡, ±ÁÀº µî ÀÚ¼¼(sway
back)
- °ñ¹ÝÀÌ ÇÑ ÂÊÀ¸·Î Ä¡¿ìħ
- ÇÏÁö ±æÀÌ ºÒ±ÕÇü
|
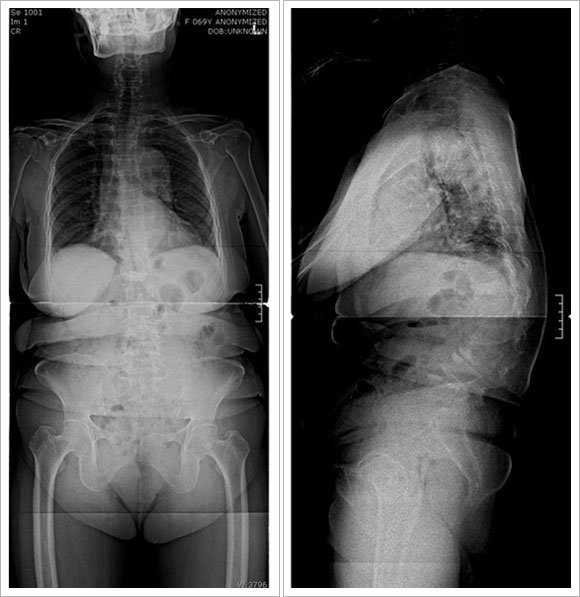
ôÃßÃø¸¸ÁõÀÇ Áø´Ü
| |
- ÀÌÇÐÀû°Ë»ç(¾î±ú³ôÀÌ,°ß°©°ñºñ´ëĪ,Ç㸮¼±
ºñ´ëĪ, °ñ¹Ý³ôÀÌ, ½Åü ºÒ±ÕÇü, ±¼°î°Ë»ç)
- ´Ü¼ø ¹æ»ç¼± »çÁø ÃÔ¿µ
|

ôÃßÃø¸¸ÁõÀÇ Ä¡·á
1)
º¸Á¶±â
| |
- ¸¸°îÀÇ
ÁøÇàÀ» ¸·¾ÆÁÖ´Â °ÍÀÌ ÁÖ¸ñÀûÀÌ¸ç ±³Á¤ÇÏ´Â °ÍÀÌ ¸ñÀûÀº ¾Æ´Ô
- 25-40µµ ¸¸°î½Ã »ç¿ë
- ÇÏ·ç 22-23½Ã°£ ¼ºÀåÀÌ ³¡³¯ ¶§ ±îÁö Âø¿ë
- ¼ºÀå±â¿¡ ÁÖ·Î ½ÃÇà
|
2)
¼ö¼úÀû Ä¡·á
| |
- ¼ºÀå±âÀÇ
45µµ ÀÌ»óÀÇ ¸¸°î
- ¼ºÀåÀÌ ³¡³ 50µµ ÀÌ»óÀÇ ¸¸°î
* ¼ö¼ú¹ý
- ÈĹ汳Á¤ ¹× ÈĹæ±â±â¼ú : ôÃß°æ ³ª»ç¸ø
°íÁ¤¼ú
- Àü¹æ±³Á¤ ¹× Àü¹æ±â±â¼ú : ÃÖ¼ÒÀý°³¹æ½Ä,
³»½Ã°æ ¹æ¹ý
- ÀüÈĹ汳Á¤ ¹× ÈĹæ±â±â¼ú
- °ßÀÎ ÈÄ ÈĹ汳Á¤¼ú
- Èä°û¼ºÇü¼ú
* Ä¡·áÇÏÁö ¾ÊÀ¸¸é »ý±â´Â ¹®Á¦
- ¿äÅë
- ÇÏÁö °¨°¢ ÀÌ»ó, Àú¸² Áõ»ó
- ÇǷΰ¨
- ¿µ±¸ÀûÀÎ º¯Çü
- È£Èí Àå¾Ö
- ½ÉÀå Áúȯ
|
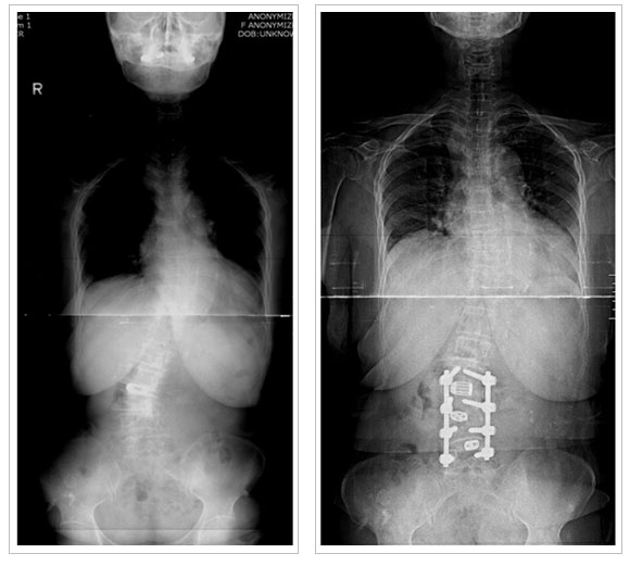
Ä¡·á »ç·Ê
1)
û¼Ò³â±â Ư¹ß¼º ôÃßÃø¸¸Áõ : 20¼¼/¿©ÀÚ
2) ÅðÇ༺ ôÃßÃø¸¸Áõ
: 78¼¼/¿©ÀÚ
| |
ÁÖ·Î ³ªÀ̰¡
µé¸é¼ ¹ß»ýµÇ¸ç ôÃß°ü ÇùÂøÁõÀÌ ÁÖÁõ»ó
Ä¡·á´Â ôÃß°ü ÇùÂøÁõ¿¡ ´ëÇÑ Ä¡·á¿Í º¯Çü±³Á¤À» µ¿½Ã¿¡ ½Ç½ÃÇÔ

|
3) ÅðÇ༺
ôÃß Èĸ¸ º¯Çü
| |

|
-
3D CT ¹× MRI : ¿äÃß 2, 3¹ø¿¡ ½ÉÇÑ Ã´Ãß°ü ÇùÂø ¹× ¿äÃß Èĸ¸ º¯Çü º¸ÀÓ. 
|

|
|
|